乳牙龋齿怎么治疗

时间: 01-09 来源: 啊哦网 作者: Anne
  • 手机浏览
    扫一扫 手机浏览
    推荐在WIFI环境下使用
  • 乳牙龋齿怎么治疗。乳牙龋齿怎么治疗?今天我给大家带来的是乳牙龋齿护理方法。下面抓紧时间和我一起来看看吧。

    乳牙龋齿怎么治疗?

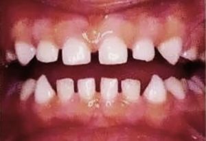
    孩子健康的乳牙是这样的:

    乳牙龋齿怎么治疗

    如果没有好好地护理,乳牙蛀了,刚开始是这样的:

    乳牙龋齿怎么治疗

    隔壁的邻居说,乳牙迟早要换,不用管,然后就变成这样了:

    乳牙龋齿怎么治疗

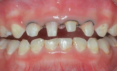
    情况越来越严重,家长开始着急,村头摆地摊“100块种牙”的老大爷又说了:“这算事儿吗?换牙就好了,一点不影响!”于是,牙齿就变成这样了:

    乳牙龋齿怎么治疗

    最后宝宝的乳牙全部龋坏,长出来的恒牙也是歪歪斜斜,家长后悔也来不及了。

    据《第三次全国口腔健康流行病学抽样调查结果》显示,我国5岁儿童乳牙龋病的患病率为66.0%,也就是说,5岁以下的儿童里,每三个孩子中就有两人患龋齿!

    多么惊人的数字!那么,到底是什么原因导致了孩子蛀牙呢?

    乳牙龋齿形成的原因

    1、与恒牙相比,乳牙的钙化程度低、耐酸性差,所以更容易受酸性物质腐蚀;

    2、在饮食上,孩子多吃细软的食物,譬如粥、酸奶、果汁、糕点、手指类零食,这些食物含糖高又容易附着在牙齿表面,如果不及时清理,乳牙很容易被细菌粘附,从而导致龋齿;

    乳牙龋齿怎么治疗

    3、孩子在长牙过程中,牙齿缝隙大,更容易有食物残留,如果不刷牙或者刷不干净,没有培养良好的口腔卫生习惯,食物残屑在细菌作用下很快会发酵产酸,腐蚀牙齿,最终引发龋齿;

    4、家长观念错误,认为乳牙迟早会被恒牙换掉,清洁不重要,即使龋齿也不用担心。

    但是,你知道吗,有些乳牙的使用时间长达10年呢!

    平均来讲,孩子6个月前后开始长牙,6岁进入换牙期,12岁才会换完所有的牙齿。这就意味着,宝宝6个月大时长的牙,要到6岁才开始换;宝宝2岁时长的牙,要用到12岁才换呢!

    因此,乳牙健康问题不容忽视,如果孩子乳牙蛀牙了不去管,孩子要忍受很多年的牙病折磨,甚至影响后续恒牙的萌出。

    乳牙龋齿的危害

    1、咀嚼功能下降,消化吸收、生长发育都受影响

    一旦龋病侵害到牙髓,遇到冷热酸甜刺激,都会造成牙痛,孩子不敢用患牙咀嚼,降低了咀嚼功能。而食物不能被充分咀嚼,就会影响消化和吸收。由于牙齿不好咬,孩子还可能偏食,挑软的、好吞咽的食物,而不愿意吃含纤维素较多、需要充分咀嚼的蔬菜,这些都会导致营养不良,影响孩子的生长发育。

    2、单侧咀嚼时间长,孩子变成大小脸

    无论是龋齿造成的牙痛,还是牙齿被蛀洞无法使用,都会造成孩子长时间用单侧咀嚼,时间长了会形成咬肌不对称,可能造成孩子双侧面部发育不对称,影响咬合和面部美观。

    乳牙龋齿怎么治疗

    3、乳牙龋齿,恒牙也长不好

    除了咀嚼作用,乳牙对于恒牙的萌出还起着引导作用,因为龋齿,乳牙牙冠因龋缺损或出现早失,可能导致恒牙萌出间隙不足错合,畸形等。

    乳牙龋齿怎么治疗

    另外,如果乳牙的龋病很深可能造成根尖炎,这可能影响后继恒牙的釉质发育,使萌出的恒牙表面不光滑,有白斑或表面缺损。

    4、影响发音与美观,易产生自卑心理

    乳牙严重龋坏,影响孩子的发音与面容美观。不仅如此,3岁的宝宝就已经有自尊心,不喜欢被别人笑话。因此当小朋友牙齿龋坏,会因为别人的嘲笑而不敢咧嘴笑,时间久了,甚至会影响自信,影响性格发展及心理健康。

    怎样预防孩子龋齿

    1、最好不要让孩子含着奶瓶睡觉,减少夜奶的次数。

    乳牙龋齿怎么治疗

    相关阅读

    猜你喜欢

    prev next
    Copyright © 优美图库 版权所有 All rights reserved. 浙ICP备14043968号