宝宝牙齿有白斑 宝宝牙齿有白点

时间: 01-09 来源: 啊哦网 作者: Anne
  • 手机浏览
    扫一扫 手机浏览
    推荐在WIFI环境下使用
  • 宝宝牙齿有白斑,宝宝牙齿有白点,宝宝牙齿有白斑是怎么回事。许多家长可能会发现宝宝牙齿有白斑,那么宝宝牙齿有白斑是怎么回事,宝宝牙齿有白斑脱矿怎么办呢,下面跟随小编一起来详细了解了解吧~

    宝宝牙齿有白斑是怎么回事

    如果发现孩子的乳牙长了白斑,这意味着他的牙齿正在脱矿中。脱矿是龋齿的先兆,假如处理不好,很容易开展成龋齿。

    牙齿脱矿,最显著的特征就是牙齿颜色变白,但暗淡无光,看起来明显和正常白牙不同。

    宝宝牙齿有白斑 宝宝牙齿有白点

    早期的脱矿只是牙齿颜色发生改变,任由开展下去就会像下面这张图一样,牙齿外表开端呈现细微缺损。

    宝宝牙齿有白斑 宝宝牙齿有白点

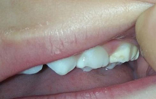
    下面这位孩子的牙齿有很多颗都呈现了不同水平的脱矿,牙垢堆积明显。

    宝宝牙齿有白斑 宝宝牙齿有白点

    脱矿导致牙齿表面凹凸不平,两颗门牙岌岌可危。

    宝宝牙齿有白斑 宝宝牙齿有白点

    牙齿呈现脱矿后,继续发展就会发生“龋坏”,继而呈现“牙洞”“缺口”“缺损”等,这表明:孩子已经长龋齿了。

    一旦出现龋齿,必须进行治疗,因为龋齿是不能自己恢复的,只会越来越厉害。不但会让孩子食物塞嵌,疼痛不适,而且破坏牙齿外形,影响发音和美观,对颌骨里恒牙胚的发育和孩子面部外形的发育也可能带来潜在的影响。

    宝宝牙齿有白斑 宝宝牙齿有白点

    宝宝牙齿有白斑脱矿怎么办

    脱矿是可逆的,早期的脱矿能够经过用含氟牙膏刷牙、涂氟、运用护牙素等手腕协助牙齿再矿化。较严重的,家长应尽快带孩子去专业牙科诊所补牙,越早修复越好。所有窝沟深的牙齿都应该做窝沟封闭,乳牙与恒牙一样重要,在小朋友能配合的时候尽早封闭,预防龋齿。

    宝宝牙齿有白斑 宝宝牙齿有白点

    相关阅读

    猜你喜欢

    prev next
    Copyright © 优美图库 版权所有 All rights reserved. 浙ICP备14043968号