B超多少钱做一次 四种b超功能越强价格越贵

时间: 01-09 来源: 啊哦网 作者: Anne
  • 手机浏览
    扫一扫 手机浏览
    推荐在WIFI环境下使用
  • 大家都知道b超是较普遍的检查方法,到了医院,有什么病痛,医生就说先做个b超吧,不少人会担心b超的价钱,那么小编就来为大家科普一下B超多少钱做一次,做b超多少钱呢?下面跟随小编一起来详细了解了解吧~

    B超多少钱做一次

    普通B超

    普通b超其实也就是二维的黑白b超。普通b超的应用范围也很广,主要是作用就是观察身体内部结构,比如孕妇胎儿情况、肝脏等部位。用孕妇b超检查来说,普通b超是黑白色的,通过b超测出胎儿双顶径、头围和腹围等数据,进一步确认宝宝的预产期,还可帮助医生观察胎儿是否存活或有无畸形,羊水是否过多等。

    价格:普通B超价格相对比较便宜,不同地方的医院价格会不一样,但差异基本相差不大,最便宜的有35元,稍贵一点的90元也有。

    B超多少钱做一次 四种b超功能越强价格越贵

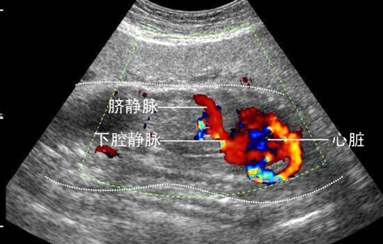
    二维彩超

    二维彩超能够观测到器官内部血液流动情况,彩超能够直观成像,显示更清晰,结果也更快速,在孕妇b超检查中有着非常大的作用。孕妇做检查是时候采用彩色b超检查,可发现异常血流,为诊断胎儿先天性心脏缺陷提供了诊断依据。

    其实可以把普通b超和彩超归为一个范畴:普通b超就像黑白照片,彩色b超就是在b超的功能上多了一个彩色多普勒功能(CDFI),可以在黑白图像上看到彩色的血管,当彩色多普勒功关闭的情况下,它依然是黑白b超超声。

    价格:二维彩超的价格要比黑白B超贵,同样医院不一样价格不一样,一般价格在130~150元左右。

    B超多少钱做一次 四种b超功能越强价格越贵

    标签: B超

    相关阅读

    猜你喜欢

    prev next
    Copyright © 优美图库 版权所有 All rights reserved. 浙ICP备14043968号