碳酸饮料的危害

时间: 01-06 来源: 啊哦网 作者: Anne
  • 手机浏览
    扫一扫 手机浏览
    推荐在WIFI环境下使用
  • 碳酸饮料的危害。碳酸饮料虽然解渴、好喝,但是从养生保健的角度分析,爱喝碳酸饮料并不是什么好事。

    1.影响消化系统的功能——胃会不舒服

    碳酸饮料的危害

    碳酸饮料喝得太多对肠胃非但没有好处,而且还会大大影响消化。

    因为大量的二氧化碳在抑制饮料中细菌的同时,对人体内的有益菌也会产生抑制作用,所以消化系统就会受到破坏。特别是年轻人,一下喝太多,释放出的二氧化碳很容易引起腹胀,影响食欲,甚至造成肠胃功能紊乱,引发胃肠疾病。

    另外,二氧化碳的抑菌功能没有选择性,对肠道内的诸多有益菌也有破坏作用。常喝碳酸饮料的孩子营养的摄入会渐渐跟不上,不利于身体的发育。

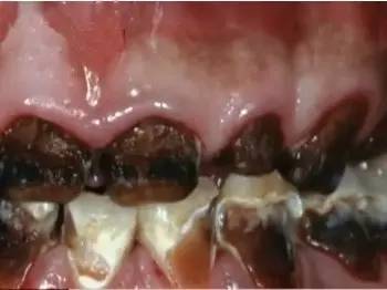
    2.增加患龋齿的风险——牙牙不美观

    碳酸饮料的危害

    这副牙齿!!!虽然有点难以置信,但确实是真的牙齿,叫做“可乐牙”。众所周知,碳酸饮料是一种酸性的液体,在与牙齿接触时会腐蚀表层的牙釉质,会让牙齿变得越来越敏感,无法承受正常程度的冷热酸甜,长此以往就会把一口好牙变成了“可乐牙”!

    生活中,有人用喝剩下的可乐刷马桶、去水垢、去锈等,效果很好,就是因为可乐中所含有的磷酸对那些顽固的污垢具有瓦解作用。如果长期大量地喝含有磷酸的饮料,对牙齿真的也具腐蚀性的破坏作用。

    怪不得以前喝碳酸饮料,每次喝完都觉得牙齿涩涩的,一点都不光滑,原来是牙釉质这层保护膜被饮料中的酸腐蚀啦!好可怕!  

    3.影响骨质——骨头变脆弱

    碳酸饮料的危害

    虽然我们人体的骨骼很坚硬,可是长期饮用碳酸饮料也会导致骨质疏松,因为碳酸饮料中含有的酸味剂——磷酸,它会改变人体的钙、磷比例,小朋友尚处在长个子的阶段,对钙质的需求是非常大的,在大量摄入富含磷酸的碳酸饮料后,会影响钙质的吸收,长此对小朋友的骨骼发育非常的不利。 

    此外,研究显示,过量饮用碳酸饮料的人骨折危险会增加大约3倍;青少年喝过多的碳酸饮料不仅对骨峰量可能产生负面影响,还可能会给将来发生骨质疏松症埋下伏笔。

    相关阅读

    猜你喜欢

    prev next
    Copyright © 优美图库 版权所有 All rights reserved. 浙ICP备14043968号