牙齿畸形分类

时间: 01-06 来源: 啊哦网 作者: Anne
  • 手机浏览
    扫一扫 手机浏览
    推荐在WIFI环境下使用
  • 牙齿畸形分类。这几种牙颌畸形或异常必须在12岁前发现即矫正,越早处理效果越好。

    反颌—俗称“地包天”

    即下排牙齿包住上排牙齿。严重影响面容美观,导致吃饭,咀嚼功能下降,加重胃肠负担,还可影响发音,影响身体健康。

    牙齿畸形分类

    偏颌

    由于一边的牙齿龋坏或缺失等原因,长期用另一侧吃东西,导致双脸型不对称,严重影响美观和心理健康。

    牙齿畸形分类

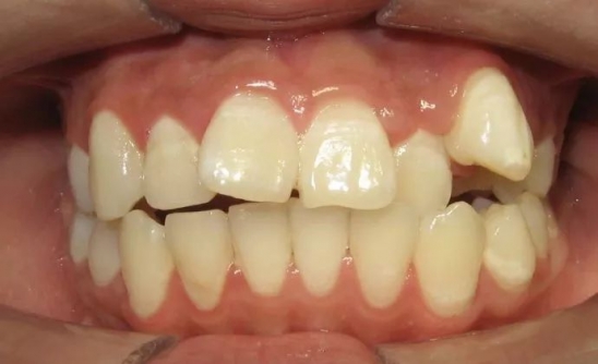
    严重的大龅(暴)牙

    龅牙患者非常不自信,极大程度的影响了学业和社交,有的孩子变得自卑,也应及时矫正。

    牙齿畸形分类

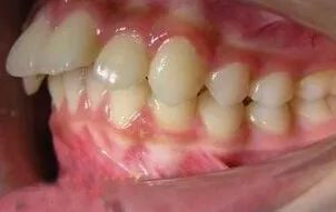
    个别牙反颌

    即个别门牙或两颗牙反颌,危害极大。会影响上面部的正常发育,上唇凹陷。而且,其潜在的危害是,最有可能导致儿童成长到30至40岁时出现颞下颌关节紊乱病。

    牙齿畸形分类

    相关阅读

    猜你喜欢

    prev next
    Copyright © 优美图库 版权所有 All rights reserved. 浙ICP备14043968号