遮瑕膏怎么遮眼袋 遮瑕膏如何遮眼袋

时间: 12-24 来源: 啊哦网 作者: Anne
  • 手机浏览
    扫一扫 手机浏览
    推荐在WIFI环境下使用
  • 遮瑕膏怎么遮眼袋,遮瑕膏如何遮眼袋,遮瑕膏能遮眼袋吗。是不是有很多宝宝不管怎么遮眼袋还是遮不掉,今天就教大家三步遮好自己的大眼袋,下面一起来看看吧。

    遮瑕膏怎么遮眼袋

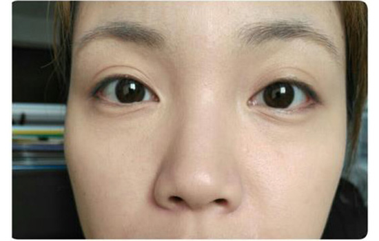
    对比图

    可以看出模特的眼袋是很重的,有点青紫的感觉了,在遮瑕后,眼袋基本上被遮了八成,而且也比较自然,没有卡纹。

    遮瑕膏怎么遮眼袋 遮瑕膏如何遮眼袋

    第一步:在上好粉底液之后,用遮瑕刷少量沾取遮瑕膏涂抹在红色框框的范围,用指腹轻压边缘散开,注意遮瑕膏不要涂到卧蚕了,往后延伸也不要超过下眼皮的三分之二处。

    遮瑕膏怎么遮眼袋 遮瑕膏如何遮眼袋

    第二步:看图中红色框框的地方就是泪沟的位置,将遮瑕刷竖起来画一笔,就是用遮瑕刷的尖头刷几笔,像是遮瑕刷要戳自己的眼睛一样,然后一样是用指腹轻压边缘散开。

    遮瑕膏怎么遮眼袋 遮瑕膏如何遮眼袋

    第三步: 用比粉底亮一号色的遮瑕膏,均匀点在下眼皮部位,面积稍大也无妨,用平角刷点开就可以了,最后用散粉定妆,注意散粉不要太多,一点点就好。

    遮瑕膏怎么遮眼袋 遮瑕膏如何遮眼袋

    相关阅读

    猜你喜欢

    prev next
    Copyright © 优美图库 版权所有 All rights reserved. 浙ICP备14043968号